
Teeth Straightening
If you’d like a straighter smile, our friendly team at Aldershot Dental Centre can help. Our practice offers both traditional fixed braces and near-invisible teeth straightening solutions depending on your needs.
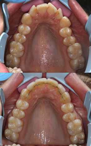
Below are some examples of the treatment provided at our practice. You can click on an image for a closer look.
At Aldershot Dental Centre, we are proud to offer many different systems to help straighten your teeth and achieve a healthy, happy smile.
If you have uneven teeth, it can have an impact on your self-confidence. Whilst making the decision to begin teeth straightening treatment can be exciting, it may also feel a little daunting. It’s only natural to be concerned about how your teeth will look during treatment while they are changing.
Our braces look beautiful and discreet with top quality tooth-coloured brackets and wires, making your them virtually invisible. Most people won’t know you are wearing braces at all and treatments can take as little as 6 months to complete.
Clear Aligners, such as Invisalign, provides a series of removable, clear aligners that are changed every 2 – 3 weeks to help you achieve a straighter, healthier smile.
Please contact us to book your orthodontic smiles consultation.










